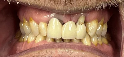
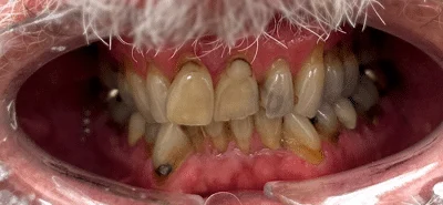
Smile Gallery

Over the years, the skilled team at Advanced Dental & Implant Center have seen countless patients, getting amazing results. See some of the stunning before and after images from our patients’ success stories!

Before
After
Before
After
Before
After
Before
After
Before
After
Before
After
Before
After
Before
After
Before
After
Before
After
Before
After
Before
After
Before
After
Before
After
Before
After
Before
After
Before
After
Before
After
Before
After
Before
After
Before
After
Before
After
Before
After
Before
After
Before
After
Before
After
Before
After
Before
After
Before
After
Before
After

Download our Free Dental Implant Pricing & Information Guide Now!

Fill Out The Form Below And We Will Email/text You The Guide Along With A $350 Savings Offer!

The Guide Will Show You

Download our Free Dental Implant Pricing & Information Guide Now!

Fill Out The Form Below And We Will Email/text You The Guide Along With A $350 Savings Offer!

Meet our Doctor

Let us help you maintain your perfect smile

Dr. Scott R. Hill

Dr. Scott Hill has been transforming smiles—and lives—through dental implants since 2014. He has successfully placed over 2,500 dental implants and focuses his practice on full-arch implant rehabilitation, helping patients regain their ability to eat, smile, and live with lasting confidence.

What Our Patients Say

See what other patients are saying about us.

Mike Hasty
Had an emergency visit and they got me in the same day and had my issue fixed within an hour! Everyone was so kind. I’m not the biggest fan of going to the dentist but they made my emergency visit a breeze! 100% recommended. Fantastic service. I’ll be back for a cleaning and full checkup after my vacation.
Steven Clinton
Awesome experience in my first visit. The hygienist did an incredible job cleaning up my coffee stains and whitening up the smile, and the dentist was clear in her communication! Highly recommend!
Joan Wells
Five stars for Jessie at Advanced Dental & Implant Center. I got the best most professional cleaning I’ve ever had. She also advises what to do to keep healthy teeth. Great friendly atmosphere, even if you’ve only been there one time before, everyone remembers your name. Joan Wells
Matt Nestor
Excellent staff. Dr. Young is the best! Highly recommend this dental practice!
Nancy Young
I found the staff at Advanced Dental & Implant Center to be very niceI and professional. Jessie the hygienist was exceptionally thorough and gave me the best cleaning I’ve had in many years. She was also very gentle doing it. She worked very hard to get my teeth back to normal after 2 years of no cleanings. I will be happy to make Dr. Young and staff my new dentist team.
Lorna Fernandez
This dental clinic goes over and beyond. From the front desk to everyone. Dr. Hill is fantastic. I came for a consult/second opinion. He gave me his full attention and didn’t rush. He listened to everything that I had to say. He supplied all information I needed to understand and thoroughly explained the best course of action for my situation. Would I recommend him to my friends and family? Absolutely.
Mariel Stimple
I had great experience as a new patient at Advanced Dental & Implant Center. The receptionists were very welcoming and the facility was very clean and beautiful – don’t be fooled by the strip mall exterior. Jessie, my hygienist, did an excellent job and she was incredibly friendly. The dentist found a crack in an old filling and they were able to schedule me in to replace it that same day! The filling took less than 30 minutes and was priced very reasonably. I look forward to coming back in 6 months for my next cleaning.
Justin Myers
Jessie, the hygienist, is the best. Thorough, kind, takes time to know her patients. Customer service at its best. Been to several dentists in Monument area, hands down best in town.

Every patient deserves a healthy, beautiful smile

We believe every patient deserves a healthy, beautiful smile, and we work hard to make that happen for you.

Search Our Website

Search for services, dental procedures, and expert tips from our patient resources.

Popular searches: Dental Implants, Cleanings, Insurance.

Schedule Your Visit Today

Request an Appointment

Our dedicated team is here to provide you with personalized attention and exceptional care, tailored to meet your unique dental needs.

Black Friday Specials

Get $1305 off SureSmile® When Paid in Full

Act now and save big. Offer valid when paid in full. Don’t miss out.

$10/unit in neurotoxin treatment

Unlock a youthful look for less! Get neurotoxin treatment in our office.

Double the Impact, Enjoy 20% Off Burst Products

When you donate to this cause, we’ll match your contribution. Plus, for every toy you give, enjoy an exclusive 20% discount on any Burst product you love. Join us in spreading joy and caring for your smile today.

These offers cannot be combined with other promotions and are redeemable in the absence of insurance coverage.

New Year New You

20% off on all 
cosmetic services

This includes SureSmile®, veneers, implants, whitening, and our in-office neurotoxin—up to $500 off.

New Patient Special

$99 for Exam, FMX (Full Mouth Series X-ray), and Healthy mouth cleaning.*

*Non-insured patients only. Only valid for patients in the absence of periodontal (gum) disease. (D0150, D0210, D1110). These offers cannot be combined with other promotions and are redeemable in the absence of insurance coverage.

New Year New You

20% off on all 
cosmetic services

This includes SureSmile®, veneers, implants, whitening, and our in-office neurotoxin—up to $500 off.

New Patient Special

$99 for Exam, FMX (Full Mouth Series X-ray), and Healthy mouth cleaning.*

Double the Impact, Enjoy 20% Off Burst Products

When you donate to this cause, we’ll match your contribution. Plus, for every toy you give, enjoy an exclusive 20% discount on any Burst product you love. Join us in spreading joy and caring for your smile today.

*Non-insured patients only. Only valid for patients in the absence of periodontal (gum) disease. (D0150, D0210, D1110). These offers cannot be combined with other promotions and are redeemable in the absence of insurance coverage.